22 Anos de
Experiência
+ de duas décadas a criar sorrisos com dedicação e excelência
Equipa
Especializada
Equipa focada nas melhores soluções para o seu caso
Tecnologia
Avançada
Equipamentos avançados para diagnósticos precisos
Sedação
Profunda
Conforto e tranquilidade para quem tem medo do dentista
"Aqui, tratamos pessoas, não apenas sorrisos"
Na Clínica Miguel Vieira, acreditamos que um sorriso saudável é essencial para a qualidade de vida. Cada paciente é único, e por isso realizamos um atendimento próximo, baseado em empatia, respeito e confiança.
O nosso objetivo é que cada pessoa se sinta confortável e segura desde o primeiro contacto, recebendo um acompanhamento personalizado e cuidadoso. Aqui, tratamos pessoas, não apenas sorrisos – porque sabemos que cuidar da saúde oral é também cuidar da auto-estima, confiança e do bem-estar.
22
Anos de experiência
Os Nossos Tratamentos
Soluções completas que vão desde a prevenção e higiene oral, passando por ortodontia, estética dentária e implantologia, até aos procedimentos mais complexos de reabilitação oral
Branqueamento
Cirurgia Oral
Endodontia
Estética Dentária
Higiene Oral – GBT
Implantologia
Odontopediatria
Ortodontia
Ortodontia Invisalign
A Nossa Missão
A nossa visão
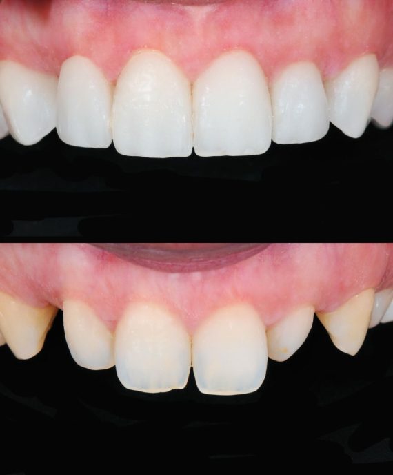
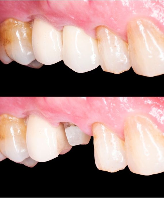
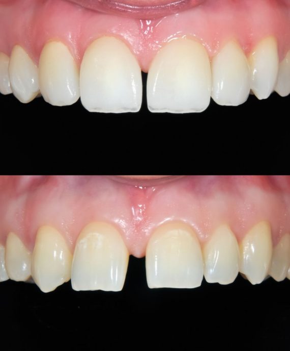
Casos Clínicos
Cada sorriso conta uma história. Nos nossos casos clínicos, partilhamos transformações reais que devolveram saúde, funcionalidade e, acima de tudo, a confiança de sorrir!
Invisalign e Facetas
Facetas Dentárias
Implantes Superior
Coroa Dentária
Implantes Total
Ortodontia
clinica penafiel
Morada: Avenida Araújo e Silva, n.º 7 4560 – 451 Penafiel
Fixo: (+351) 255 214 600
Móvel: (+351) 965 054 531
Email: penafiel@cdmv.pt
clinica paredes
Morada: Rua Dona Rosalina Guimarães, n.º 114 4580 – 195 Paredes
Fixo: (+351) 255 777 274
Móvel: (+351) 965 054 518
Email: paredes@cdmv.pt
Marque agora a sua consulta
Preencha o formulário e entraremos em contacto o mais rápido possível.
A Nossa Equipa
Temos uma equipa multidisciplinar apaixonada pelo que faz, unindo experiência, formação contínua e atenção ao detalhe para prestar cuidados personalizados.
Miguel Vieira
Pedro Vieira
Mário Afonso
Francisco Magalhães
Paulo Graça
Ana Rita Moreira
Andreia Babo
Helena Miranda
Mónica Teixeira
Patrícia Cunha
Sofia Moreira
Andreia Rocha
Beatriz Cabral
Elisabete Soares
Mariana Carneiro
Primavera
Silvia Pereira
Wendy Dias
Marlene Silva
O que dizem de nós?
22 Anos de
Experiência
+ de duas décadas a criar sorrisos com dedicação e excelência
Equipa
Especializada
Equipa focada nas melhores soluções para o seu caso
Tecnologia
Avançada
Equipamentos avançados para diagnósticos precisos
Sedação
Profunda
Conforto e tranquilidade para quem tem medo do dentista




















